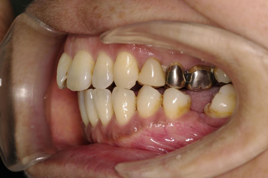
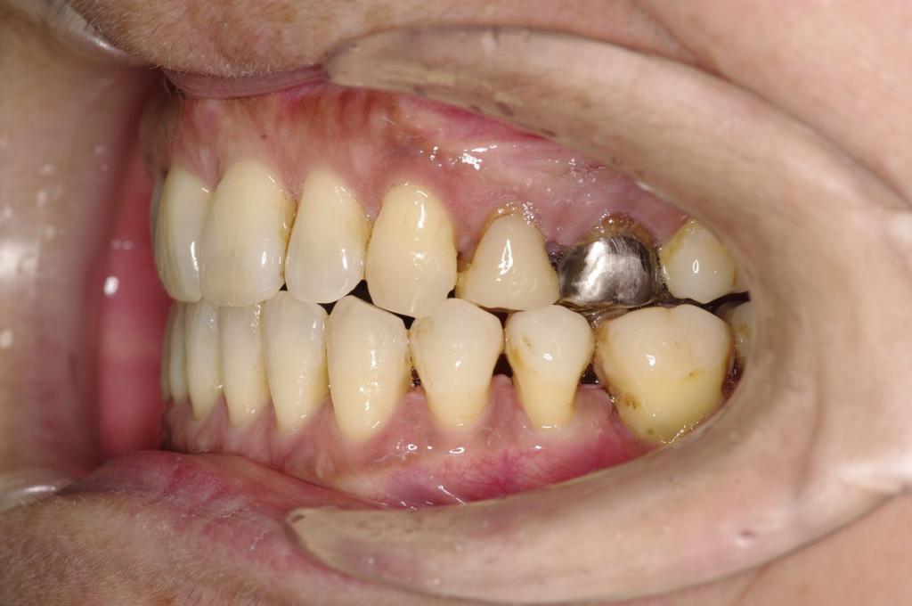
歯周病を伴った矯正治療
(治療期間、治療前後写真、治療方法、費用)WORKS
下記の実績データをクリックして頂くと「性別」、「治療開始年齢」、「治療終了年齢」、「治療方法(矯正治療装置写真含む)」、「治療終了までの費用」など、詳細な矯正治療データをご覧頂けます。
- 治療期間の変更:歯やアゴの動きには個人差があり、計画した期間が多少変更されることがあります。
- 治療計画の変更:治療の途中で予測以上のアゴの成長があったり、舌の癖が出た場合あるいは患者さ んの十分な協力が得られなかったような場合には、治療期間の延長、治療方法の変更、永久歯の抜歯などが必要になることがあります。
- 以前に打撲したことのある歯は、歯と骨が癒着している可能性があり歯を移動させることが困難な場合があります。
- 歯根の吸収:歯が動く時に、まれに歯の根の先がとけたり、歯の根が細くなったりすることがあります。
しかし、大抵の場合、日常生活での支障はありません。
以下の項目は、該当する患者さんのみの注意事項です。
- 下顎前突(受け口)の方は、まれに治療中・治療後に下アゴが平均を著しく上回って成長することがあります。その場合、成人になって下アゴを後退させる手術が必要になる可能性があります。
- 開咬(上下の前歯が咬めない状態)の方は舌の癖が治らない場合、上下の前歯の間にスペースが開くことがあります。
- 上下の前歯の間に舌を入れる癖がある場合には、歯の裏側にフックを付ける場合があります。その場合発音がしにくくなったり、食事の時に舌が痛かったりすることがあります。
- 前歯を沢山動かす必要がある場合には、夜間ヘッドギア(帽子のような装置)を付ける必要になることがあります。
- アゴが横にずれている場合(骨格性のタイプ)は、手術を伴う矯正治療以外では顔のゆがみは治せません。
- アゴが横にずれている場合(骨格性のタイプ)埋伏歯の場合、歯と骨の癒着や、歯の根が曲がっていたり短い場合、歯列内に引き出せないことがあります。
























